
Non tutti sanno cosa sia l'artrosi, questo rende le persone confuse nei metodi di trattamento e non comprendono i principi della diagnosi di patologia. L'artrosi è una grave lesione distrofica che provoca la lesione del tessuto della cartilagine nella grotta intra -articolare. La complessità della terapia è associata all'irreversibilità dei processi, non è possibile ottenere una completa guarigione nel contesto della medicina moderna, ma la gravità dei sintomi può essere ridotta e la progressione della patologia viene rallentata. Con il giusto trattamento, una persona continua il solito stile di vita per lungo tempo.
Cos'è l'artrosi?
Allo stesso modo, è più facile per la malattia essere una malattia delle articolazioni che provoca la limitazione dell'ampiezza del movimento e del dolore. Non ci sono manifestazioni nella prima fase del danno, hanno una leggera gravità e vengono lavate via. La patologia sta gradualmente progredendo, ciò viene reso più semplice dai cambiamenti di età nel corpo, nello stress, le lesioni, ecc. In conformità con le statistiche, circa l'80% della popolazione oltre 60 anni dall'artrosi.
L'osteoartrite dell'articolazione si sviluppa a lungo, inizialmente colpisce solo Hyalink Norp e quindi si diffonde alle ossa, alla ciotola sinoviale, ai muscoli e all'intera capsula dell'articolazione. Nella prima o precoce fase dell'artrosi, la lesione si manifesta facilmente: un piccolo dolore dopo duro lavoro, gonfiore, arrossamento della pelle. A causa delle sensazioni ignoranti e spiacevoli vengono deformate, infiammate e porta grave dolore, il suo climax cade al mattino. La malattia è caratterizzata dalla scomparsa del dolore dopo lo sviluppo dell'articolazione. Se non trattata, una persona perde completamente la mobilità dell'articolazione.

Esiste una forma primaria e secondaria di osteoartrite. Anche la pseudo-artrosi (neoartrosio) si differenzerà, non molte persone sanno cosa è perché si forma meno spesso di altre varietà. La neoartrosi è un falso articolazione, quindi il tessuto della cartilagine aumenta in un luogo insolito in cui il danno è stato preservato. È difficile da trattare, principalmente chirurgico.
Esiste una patologia dovuta a disturbi della funzione rigenerativa, dell'immunità o del danno meccanico. A causa di varie cause di cartilagine, diventa più sottile. In condizioni normali, il tessuto della cartilagine riceve una dieta sufficiente per il recupero, ma dopo eccessivo sforzo fisico o a causa di una violazione dei processi metabolici, le sostanze non hanno tempo per rigenerarsi. La mobilità comune rimane nella prima fase. Dopo aver considerato l'artrosi una definizione, vale la pena approfondire lo sviluppo della patologia in modo più dettagliato.
Il meccanismo di sviluppo dell'artrosi, i suoi tipi
Molti tipi di artrosi si sviluppano secondo uno schema simile:
- La lesione primaria influisce sulla cartilagine ialina. Nel caso dei disturbi circolatori, c'è un deterioramento della forza patologica. È il primo passo o la prima causa che può verificarsi artrosi.
- Patologie di rivestimento ialina. Il diradamento della cartilagine porta alla sostituzione delle strutture ossee del tessuto patologico.
- La crescita anomale appare su cartilagine - osteofiti.
- La violazione che si verifica l'anatomia naturale della cartilagine e delle ossa porta al sovraccarico di aree di cartilagine sane. La distruzione dei tessuti articolari senza trattamento continua a guidare e porta a disabilità.
Se il grado di malattia aumenta, i processi patologici sono ancora peggiori. Alla fine, l'intero Hyalink Norp viene distrutto.
L'ultimo grado di malattia conduce:
- Partecipazione al processo osseo patologico sotto e oltre le superfici cartilaginee;
- Revisione di un guscio articolare, mobilità limitata che porta a una disabilità di 2 gradi;
- Aumento della densità capseldic;
- Riduzione del divario nel divario dell'articolazione, che può essere avvertita nella foto. Lo stadio della violazione è determinato dall'ansialogo diagnostico. Il paziente sente la complessità o l'incapacità di raddrizzare e piegare completamente l'arto.
- Deformazione articolare, la cartilagine riceve una forma irregolare che provoca la curvatura;
- Determinazione nello stato del paziente con completa distruzione dell'articolazione.
Stadi di artrosi
Le malattie congiunte hanno 3 livelli di sviluppo:

- 1 grado. I disturbi morfologici sono già iniziati, ma non sono ancora sorprendenti. La patologia influenza principalmente la condizione del fluido sinoviale, che fornisce tessuto di cartilagine più scarso con componenti nutrizionali e riduce la forza della cartilagine. Lo stress sulle articolazioni porta a infiammazione e dolore.
- Livello 2. A causa della mancanza di pensione, le cartucce necessarie vengono distrutte. La crescita ossea si forma sulla superficie della cartilagine. Il dolore ha acquisito un carattere più pronunciato, si rafforza dopo una lunga pausa e sono eliminati da piccoli lavori fisici. Il dolore è accompagnato da infiammazione. I muscoli sono allungati, il che porta a menomazioni deboli o medie delle funzioni motorie.
- 3 gradi. C'è spesso dolore, è difficile spostare l'arto a causa dei cambiamenti nell'articolazione. Le lesioni sono estese e sono evidenti per il look nudo. La deformazione della posizione articolare si verifica, l'area interessata si gonfia e diventa rossa. L'asse dell'arto è disturbato, il che porta alla complessità del movimento. I legamenti producono cambiamenti patologici. Appaiono subbluish e contratture. I muscoli adiacenti vengono accorciati o allungati da cui la funzione contrattile è indebolita.
Cause e fattori di rischio per lo sviluppo dell'osteoartrite
Le cause dell'artrosi delle articolazioni differiscono a seconda della forma di patologia. La deformazione dell'artrosi dell'articolazione del gomito, dell'articolazione della caviglia e dell'artrosi della spalla a volte si sviluppa senza cause evidenti. È possibile riconoscerti con un medico, uno specialista in reumatologia. Se il problema ha preceduto il problema, la malattia è descritta come primaria. La forma secondaria di violazione è principalmente diagnosticata e può provocare stati diversi.
Le ragioni principali dello sviluppo:
- Danno meccanico: trasferimenti, fratture, allungamento, lesioni al menisco;
- un certo numero di disturbi endocrini in relazione ai malfunzionamenti nel lavoro dell'immunità;
- Patologie del metabolismo;
- Displasia (anomalie congenite di tessuti articolari);
- ha subito infiammazione delle articolazioni;
- Patologie che portano ad un'alta mobilità delle articolazioni e all'indebolimento dei legamenti.
I pazienti con osteoartrite si sono più spesso trovati in una malattia a causa di fattori predisponenti:
- Cambiamenti correlati all'età;
- Peso leggero e aumento dell'IMC. Il carico elevato sul giunto porta a una rapida usura delle articolazioni;
- Mancanza di sostanze vantaggiose;
- Stress eccessivo sulle articolazioni. Il motivo è l'allenamento intensivo, lo sport, il duro lavoro fisico;
- Condizioni di lavoro difficili o un approccio sbagliato per lo sport. Se c'è una tendenza genetica verso danni, lesioni articolari o malattie simili, è importante mantenere un programma di allenamento speciale ed evitare esercizi traumatici e difficili.
- Il periodo di recupero postoperatorio o le operazioni complesse trasmesse in relazione all'escissione di una grande percentuale di sostanze interessate. Tali condizioni influenzano negativamente la levigatezza e la resistenza della cartilagine, il carico dovrebbe essere ridotto al minimo su di esse.
- Tendenza genetica, l'artrosi è più spesso diagnosticata in pazienti con parenti con la stessa patologia.
- La fase di postmenopausa, che si svolge nelle donne da circa 50 anni, è associata a cambiamenti nel sistema endocrino.
- L'effetto distruttivo delle tossine;
- cattiva situazione ambientale nella regione della residenza;
- Danni frequenti alla connessione, a volte i microristi non compaiono a lungo.
- Insediamento;
- Patologia della parte lombare e cervice della colonna vertebrale.
Osteoartrite primaria

L'artrosi primaria si forma in modo indipendente, cioè senza l'influenza di cause interne o esterne. La sconfitta si sviluppa abbastanza lentamente attraverso la cartilagine Hyalink. Raramente viene diagnosticato, costituisce solo il 3-5% di tutti i casi.
Artrosi secondaria
L'artrosi secondaria si trova più comunemente in un ordine del 95-96% dei casi. Sono provocati da una delle patologie di cui sopra.
Segni e sintomi di osteoartrite
A seconda della localizzazione, le manifestazioni della malattia difficilmente differiscono, più frequentemente i segni si riflettono sulle articolazioni del ginocchio, delle spalle e dell'anca a causa di un carico elevato.
Si presentano principalmente lamentele:
- Dolore. Hanno una bassa pesantezza nella fase iniziale, con lo stato di sensazione intensificata. Inizialmente le articolazioni facevano male solo dopo essersi svegliato dopo che un leggero riscaldamento era scomparso. Nel tempo, il dolore appare di notte, disturbano durante e dopo aver camminato a lungo, correndo ecc. Nell'ultimo stadio, la sindrome del dolore segue sempre una persona;
- ampiezza limitata di movimenti. La rigidità degli effetti indica cambiamenti anatomici nella struttura. Prima si manifesta al mattino, quindi i movimenti quotidiani sono limitati. Per non stringere la malattia, il lavoro deve essere diverso e leggero, altrimenti il paziente non può decifrare e premere l'arto nel tempo. Nel tempo, esiste un rischio da un contratto da cui una persona perde l'abilità motoria.
- Corona nei movimenti: è una delle manifestazioni non specifiche dell'osteoartrite. La malattia è caratterizzata dal verificarsi di scricchiolio in una singola articolazione (ad eccezione della poliartrosi), accompagnata da sintomi, dolore e effetti limitati. La natura dell'elettricità è ondulata: all'inizio si manifesta debole, aumenta gradualmente, ma scompare in 3 stadi;
- Gonfiore con arrossamento. È localizzato vicino all'articolazione malata. Ciò indica un processo infiammatorio e la progressione della malattia. Il medico comprende che la ciotola sinoviale è interessata e provoca l'accumulo di liquido e un aumento del dolore.
Arti limitati. Se appare in una forma trascurata della malattia, indicano la completa distruzione del tessuto della cartilagine e la presenza di osteofiti. In questo stato, la pressione aumenta sulle articolazioni nella parte superiore e inferiore, da cui la curvatura può influire sull'intero collegamento.
È importante ricordare che la deformazione delle ossa sulla gamba è spesso confusa con il mais. A prima vista, il sintomo è scarsamente pericoloso, ma porta a gravi conseguenze.
Complicazioni
Prima di tutto, i metodi di terapia conservativa vengono utilizzati per il trattamento. Se sei inefficace o il paziente ignora le raccomandazioni del medico, esiste un rischio di conseguenze.
Possibili complicazioni:
- L'articolazione è completamente distrutta;
- L'arto è immobilizzato, tutti i movimenti sono estremamente difficili;
- Vertebre intermedie;
- Disabilità;
- Forte deformazione dell'articolo o dell'intero arto.
Diagnosi di osteoartrosi
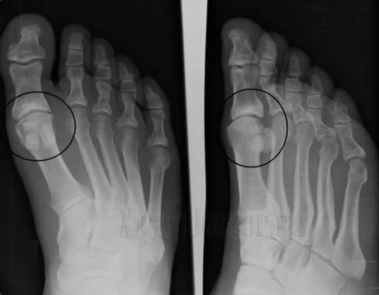
Per fare una diagnosi, i reumatologi esaminano i sintomi del paziente e prescrivono un esame di raggi X. Il più delle volte, la radiografia viene utilizzata in 2 proiezioni. Il medico esamina la presenza di disturbi distrofici nella cartilagine ialina e nelle articolazioni ossee. Quando il divario articolare viene ridotto, le ossa vengono deformate o appiattite, ci sono formazioni cistiche sulla superficie della cartilagine, gli osteofiti sono evidenti segni di osteoartrite. Durante l'ispezione, l'artrosi mostra l'instabilità dell'articolazione: l'asse degli arti e la sublussazione è disturbato.

Spesso un'immagine a raggi X non è in grado di fornire informazioni complete sulla condizione del giunto. La tomografia al computer è prescritta per uno studio più approfondito ed è efficace esaminare le ossa. La risonanza magnetica è usata più spesso per esaminare i tessuti molli.
Durante la diagnosi, viene praticata la partecipazione di altri specialisti che aiutano a determinare la causa di base della patologia. Spesso usa la consultazione di un ematologo, endocrinologo, ginecologi, ortopedia.
Trattamento moderno
Ci sono centinaia di terapia con artrosi, ma tutti sono dovuti a una serie di metodi:
- Trattamento farmacologico. Il compito principale è combattere i sintomi e prevenire l'ulteriore sviluppo di una violazione. Nella maggior parte dei casi, gli analgesici vengono utilizzati per alleviare il dolore, i farmaci antidoristi non steride per combattere l'infiammazione, i farmaci ormonali per dolore grave e infiammazione acuta. Ogni corso si basa su condroprotettori che proteggono il tessuto della cartilagine dalla distruzione. Le sostanze naturali sono utilizzate per la loro produzione.
- Fisioterapia. Migliora l'efficacia dei farmaci, le lotte con l'infiammazione, allevia i sintomi, accelera la rigenerazione del tessuto. La terapia laser ad ultrasuoni, elettrici e magnetici utilizzati più frequentemente. Ciò include anche bagni di fango, applicazioni con materiali naturali, bagni di radon;
- Educazione fisica medica. È utile sia come prevenzione che come sollievo della condizione. Dopo i giusti esercizi fisici, è possibile eliminare completamente il dolore. È utile visitare la piscina, affrontare lo yoga e andare spesso.
- Terapia manuale, massaggio aiuta con il trattamento della malattia perché aiutano a prevenire la curvatura delle articolazioni. Dopo le lesioni, il terapista manuale è in grado di sospendere l'articolazione e prevenirne la fissazione nella posizione sbagliata. Dopo il massaggio, il tono muscolare è migliorato, la circolazione sanguigna è accelerata.
- Vera nutrizione. Una dieta sana aiuta a arricchire il corpo con i nutrienti per la cartilagine e ridurre il peso corporeo. Una grande massa aumenta l'usura delle articolazioni;
- Il trattamento del resort al sanatorio rafforzerà le articolazioni. Come parte della guarigione, i sanatori sono offerti balneterapia, terapia di allenamento, metodi di fisioterapia, ecc.;
- Terapia non tradizionale. Per curare l'artrosi, le capanne, la medicina naturale, APH e le erbe, nonché l'agopuntura e vari referendum;
- L'intervento chirurgico è l'unico modo per tornare alla solita vita nella terza fase della malattia. Con gli endopropostetici è possibile sostituire la cartilagine del paziente con l'impianto. L'unico svantaggio dell'azienda sono i costi elevati. Una procedura è sufficiente per 15-20 anni.
Misure preventive
In modo che l'artrosi dell'articolazione non si distingua nella vecchiaia:
- mantenere uno stile di vita sano;
- impedire carichi forti;
- osservare una dieta;
- Escludere cattive abitudini;
- Eseguire ginnastica ogni giorno;
- Segui il peso.
L'artrosi è una malattia pericolosa che è molto più facile da prevenire della guarigione. Con la ricerca tempestiva di un medico e il rispetto delle regole di trattamento, il paziente può mantenere uno stile di vita familiare per molto tempo. La mancanza di terapia e auto -mediazione provoca il rapido deterioramento della malattia e, in definitiva, la disabilità.

























